Skip to content
  Nedjelja 14 prosinca 2025
Trending
14/12/2025Atletico Team Šmrika donirao lifter transfer Centru Fortica 14/12/2025Beach bar Ancora 5 posto adventskog prometa donira Centru Izvor Selce 14/12/2025Lovrata proslavila 60. rođendan: u Dramlju je uvijek bila više od ribolovnog društva 14/12/2025Advent u Crikvenici donosi tri adventske šetnje 14/12/2025Večeras završnica malonogometnog turnira Sveti Nikola u Kraljevici 13/12/2025KPA Adria Kraljevica proslavio 50. rođendan: od male zajednice ronioca do svjetske elite 13/12/2025Prvi adventski turnir Turbine osvojio Vinodol 13/12/2025Vesela bućica u Kraljevicu donijela proljetno vrijeme 13/12/2025Šahovski festival u hotelu Marina Selce okupio 63 igrača s tri kontinenta 13/12/2025Fešta potle dela na Kukuljanovu: topla atmosfera na 6 stupnjeva
  • Kontakt
  • O nama
  • Impressum
Tunera.info
  • Tunera
  • Mjesta
    • Bakar
    • Kraljevica
    • Crikvenica
    • Novi Vinodolski
    • Senj
    • Vinodolska općina
    • Naš kraj
    • Zelena rubrika
  • Sport
  • Zelena rubrika
  • Video
  • O portalu
    • O nama
    • Kontakt
    • Impressum
    • Politika privatnosti
    • Uvjeti korištenja
Tunera.info
Tunera.info
  • Tunera
  • Mjesta
    • Bakar
    • Kraljevica
    • Crikvenica
    • Novi Vinodolski
    • Senj
    • Vinodolska općina
    • Naš kraj
    • Zelena rubrika
  • Sport
  • Zelena rubrika
  • Video
  • O portalu
    • O nama
    • Kontakt
    • Impressum
    • Politika privatnosti
    • Uvjeti korištenja
  • Kontakt
  • O nama
  • Impressum
Tunera.info
  Naš kraj  Novo u Medicu: magnetska rezonanca cijelog tijela
Naš krajPromo

Novo u Medicu: magnetska rezonanca cijelog tijela

Portal Tunera.infoPortal Tunera.info—17/11/20250
FacebookTwitterPinterestLinkedInTumblrRedditVKWhatsAppEmail

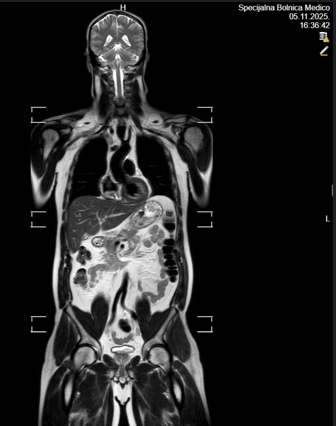
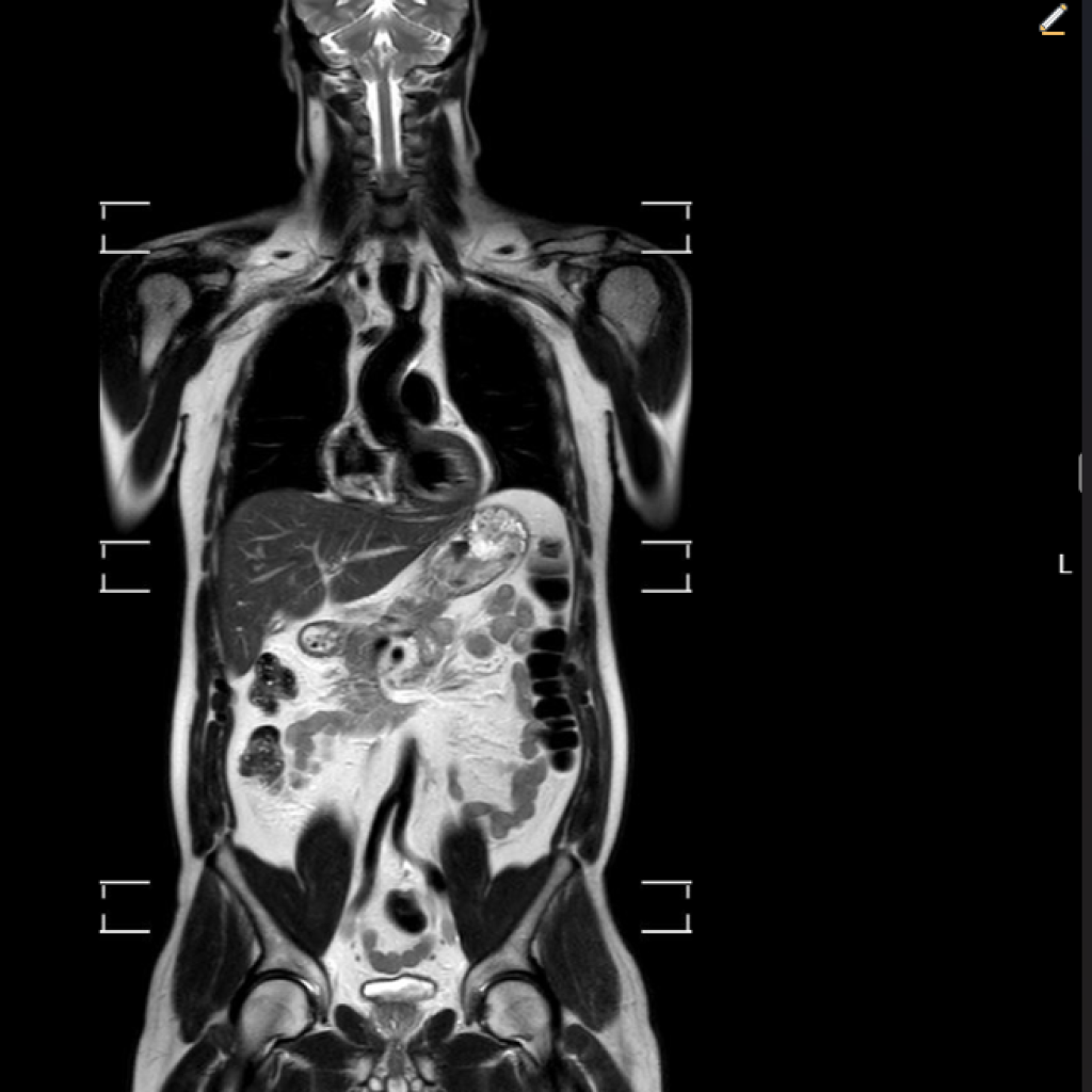
Specijalna bolnica Medico predstavila novu uslugu – magnetsku rezonancu cijelog tijela: bezbolnu, neinvazivnu pretragu za preventivnu procjenu zdravlja cijelog organizma

RIJEKA Magnetska rezonanca cijelog tijela, poznata kao MR cijelog tijela, sve češće se koristi u modernoj medicini zbog svoje neinvazivnosti i preciznosti. Radi se o bezbolnoj radiološkoj pretrazi koja omogućuje uvid u strukture čitavog organizma tijekom jednog snimanja, bez izlaganja pacijenta ionizirajućem zračenju. Ova metoda smatra se vrlo sigurnom te je najčešće namijenjena osobama s povećanim rizikom za razvoj zloćudnih bolesti, ali i onima koji žele preventivno provjeriti svoje zdravstveno stanje. Osim za ranu detekciju tumora i upalnih procesa, MR cijelog tijela često služi kao dopuna drugim radiološkim pregledima.Snimanje se izvodi u trajanju od oko 40 minuta, dok cijeli proces prosječno traje sat vremena. Pregled se obavlja bez korištenja kontrastnog sredstva i bez zračenja, a za pacijente s izraženom nelagodom u skučenom prostoru moguće je snimanje uz kratkotrajnu sedaciju.
U sklopu jednog snimanja, MR omogućuje prikaz mozga, struktura prsnoga koša, trbušnih organa poput jetre, žučnog mjehura, gušterače, slezene i bubrega, zatim nadbubrežnih žlijezda, zdjeličnih organa (mokraćni mjehur, rektum, maternica i jajnici kod žena te prostata kod muškaraca), kao i cijelu kralježnicu – vratnu, prsnu i lumbalnu. Pregled pruža orijentacijski uvid u stanje organizma i može otkriti eventualne promjene koje zahtijevaju dodatnu obradu. Nakon pregleda pacijent dobiva preporuke za daljnju dijagnostiku i eventualne terapijske postupke, čime se olakšava pravovremeno donošenje odluka o zdravstvenoj skrbi.

U Specijalnoj bolnici Medico pregled se obavlja bez čekanja na termin, a nalazi su dostupni u najkraćem mogućem roku, najkasnije unutar tri radna dana. Za pravovremenu i pouzdanu procjenu zdravlja, rezervirajte svoj termin i iskoristite prednosti MR pregleda cijelog tijela.

FacebookTwitterPinterestLinkedInTumblrRedditVKWhatsAppEmail
Leo Mandekić ostaje na čelu ŠRK Škarpine
Katolički skauti u Driveniku organizirali radionicu fotografije za djecu Vinodola
Slični članci
  • Slični članci
  • Više od ovog autora

Atletico Team Šmrika donirao lifter transfer Centru Fortica

14/12/20250

Beach bar Ancora 5 posto adventskog prometa donira Centru Izvor Selce

14/12/20250

Lovrata proslavila 60. rođendan: u Dramlju je uvijek bila više od ribolovnog društva

14/12/20250
Load more
Pročitajte više

Atletico Team Šmrika donirao lifter transfer Centru Fortica

14/12/20250

Beach bar Ancora 5 posto adventskog prometa donira Centru Izvor Selce

14/12/20250

Lovrata proslavila 60. rođendan: u Dramlju je uvijek bila više od ribolovnog društva

14/12/20250

Advent u Crikvenici donosi tri adventske šetnje

14/12/20250

Večeras završnica malonogometnog turnira Sveti Nikola u Kraljevici

14/12/20250

KPA Adria Kraljevica proslavio 50. rođendan: od male zajednice ronioca do svjetske elite

13/12/20250
Load more








News portal Tunera.info pokrenut je u siječnju 2019. godine. Prati događanja u Hrvatskom primorju odnosno u gradovima Bakar, Kraljevica, Crikvenica, Novi Vinodolski i Vinodolskoj općini.

# TRENDING

hrvatski telekom prva liganovinet tv11 manje kvaratpolicijska uprava primorsko goranskaGrad CrikvenicaPolicijska postaja Crikvenicavožnja pod utjecajem alkoholaGrad Senjgrad novi vinodolskivideograd kraljevicadamir rukavinacrikvenicavelimir piškulićAntonio Čolakkorona virusgradska knjižnica Senjgnk dinamoDalibor Čandrlićfoto
© Copyright 2025, All Rights Reserved
  • Kontakt
  • O nama
  • Impressum
Upravljajte pristankom
Da bismo pružili najbolje iskustvo, koristimo tehnologije poput kolačića za čuvanje i/ili pristup informacijama o uređaju. Suglasnost s ovim tehnologijama će nam omogućiti da obrađujemo podatke kao što su ponašanje pri pregledavanju ili jedinstveni ID-ovi na ovoj web stranici. Nepristanak ili povlačenje suglasnosti može negativno utjecati na određene karakteristike i funkcije.
Funkcionalni Uvijek aktivni
Tehničko skladištenje ili pristup je striktno neophodan za legitimnu svrhu omogućavanja korištenja određene usluge koju izričito traži pretplatnik ili korisnik, ili u jedinu svrhu izvršenja prijenosa komunikacije preko elektronske komunikacijske mreže.
Postavke
Tehničko skladištenje ili pristup su neophodni za legitimnu svrhu čuvanja podešavanja koje ne traži pretplatnik ili korisnik.
Statistika
Tehničko skladište ili pristup koji se koristi isključivo u statističke svrhe. Tehničko skladište ili pristup koji se koristi isključivo u anonimne statističke svrhe. Bez sudskog naloga, dobrovoljne suglasnosti od strane vašeg dobavljača internet usluge ili dodatnih zapisa treće strane, informacije sačuvane ili preuzete samo za ovu svrhu obično se ne mogu koristiti za vašu identifikaciju.
Marketing
Tehničko skladište ili pristup su potrebni za kreiranje korisničkih profila za slanje reklama ili za praćenje korisnika na web stranici ili na nekoliko web stranica u slične marketinške svrhe.
Kolačiči

Google various services

Funkcionalni

Upotreba

Koristimo Google various services za izrada web stranice. Pročitaj više

Dijeljenje podataka

Za više informacija pročitajte Google various services Izjavu o privatnosti.

Funkcionalni

Naziv
google_auto_fc_cmp_setting
Rok trajanja
trajno
Funkcija
Pohranjuje postavke privole za kolačiće

Elementor

Statistika (anonimna)

Upotreba

Koristimo Elementor za stvaranje sadržaja. Pročitaj više

Dijeljenje podataka

Ovi podaci se ne dijele s trećim stranama.

Statistika (anonimna)

Naziv
elementor
Rok trajanja
trajno
Funkcija
Pohranjuje izvršene akcije na web stranici

WordPress

Funkcionalni

Upotreba

Koristimo WordPress za izrada web stranice. Pročitaj više

Dijeljenje podataka

Ovi podaci se ne dijele s trećim stranama.

Funkcionalni

Naziv
wp-settings-*
Rok trajanja
trajno
Funkcija
Pohranjuje korisničke postavke
Naziv
wp-settings-time-*
Rok trajanja
1 godina
Funkcija
Pohranjuje korisničke postavke
Naziv
wordpress_test_cookie
Rok trajanja
sesija
Funkcija
Provjerava mogu li se postaviti kolačići
Naziv
wordpress_logged_in_*
Rok trajanja
trajno
Funkcija
Zadržava korisnike prijavljenima

PixelYourSite

Statistika

Upotreba

Pročitaj više

Dijeljenje podataka

Ovi podaci se ne dijele s trećim stranama.

Statistika

Naziv
pysTrafficSource
Rok trajanja
1 dan
Funkcija
Pohranjuje referentne web stranice
Naziv
pys_landing_page
Rok trajanja
sesija
Funkcija
Pohranjuje koja je stranica prva posjećena

Google Analytics

Statistika

Upotreba

Koristimo Google Analytics za statistika web stranice. Pročitaj više

Dijeljenje podataka

Za više informacija pročitajte Google Analytics Izjavu o privatnosti.

Statistika

Naziv
_ga
Rok trajanja
2 godine
Funkcija
Broji i prati broj pregleda stranica
Naziv
_ga_*
Rok trajanja
1 godina
Funkcija
Broji i prati broj pregleda stranica

LiteSpeed

Funkcionalni

Upotreba

Koristimo LiteSpeed za website hosting. Pročitaj više

Dijeljenje podataka

Ovi podaci se ne dijele s trećim stranama.

Funkcionalni

Naziv
_lscache_vary
Rok trajanja
2 dana
Funkcija
Spriječava predučitavanje stranica

Google Fonts

Marketing

Upotreba

Koristimo Google Fonts za prikaz web fontova. Pročitaj više

Dijeljenje podataka

Za više informacija pročitajte Google Fonts Izjavu o privatnosti.

Marketing

Naziv
Google Fonts API
Rok trajanja
nikoliko
Funkcija
Traži IP adresu korisnika

YouTube

Marketing

Upotreba

Koristimo YouTube za prikaz videa. Pročitaj više

Dijeljenje podataka

Za više informacija pročitajte YouTube Izjavu o privatnosti.

Marketing

Naziv
GPS
Rok trajanja
sesija
Funkcija
Pohranjuje podatke o lokaciji
Naziv
VISITOR_INFO1_LIVE
Rok trajanja
6 mjeseci
Funkcija
Omogućava isporuku ili retargetiranje oglasa
Naziv
YSC
Rok trajanja
sesija
Funkcija
Store and track interaction
Naziv
PREF
Rok trajanja
8 mjeseci
Funkcija
Pohranjuje korisničke postavke

Facebook

Marketing, Funkcionalni

Upotreba

Koristimo Facebook za prikaz nedavnih objava na društvenim mrežama i / ili gumba za dijeljenje na društvenim mrežama. Pročitaj više

Dijeljenje podataka

Za više informacija pročitajte Facebook Izjavu o privatnosti.

Marketing

Naziv
_fbc
Rok trajanja
2 godine
Funkcija
Pohranjuje zadnji posjet
Naziv
fbm*
Rok trajanja
1 godina
Funkcija
Pohranjuje detalje o računu
Naziv
xs
Rok trajanja
3 mjeseca
Funkcija
Pohranjuje jedinstveni ID sesije
Naziv
fr
Rok trajanja
3 mjeseca
Funkcija
Omogućava isporuku ili retargetiranje oglasa
Naziv
act
Rok trajanja
90 dana
Funkcija
Zadržava korisnike prijavljenima
Naziv
_fbp
Rok trajanja
3 mjeseca
Funkcija
Pohranjuje i prati posjetitelje web stranice
Naziv
datr
Rok trajanja
2 godine
Funkcija
Osigurava prevenciju od prevare
Naziv
c_user
Rok trajanja
30 dana
Funkcija
Pohranjuje jedinstveni korisnički ID
Naziv
sb
Rok trajanja
2 godine
Funkcija
Pohranjuje detalje o pregledniku
Naziv
*_fbm_
Rok trajanja
1 godina
Funkcija
Pohranjuje detalje o računu

Funkcionalni

Naziv
wd
Rok trajanja
1 tjedan
Funkcija
Određuje rezoluciju zaslona
Naziv
csm
Rok trajanja
90 dana
Funkcija
Osigurava prevenciju od prevare
Naziv
actppresence
Rok trajanja
sesija
Funkcija
Pohranjuje i prati je li kartica preglednika aktivna

Complianz

Funkcionalni

Upotreba

Koristimo Complianz za upravljanje pristankom na kolačiće. Pročitaj više

Dijeljenje podataka

Ovi podaci se ne dijele s trećim stranama. Za više informacija pročitajte Complianz Izjavu o privatnosti.

Funkcionalni

Naziv
cmplz_functional
Rok trajanja
365 dana
Funkcija
Pohranjuje postavke privole za kolačiće
Naziv
cmplz_statistics
Rok trajanja
365 dana
Funkcija
Pohranjuje postavke privole za kolačiće
Naziv
cmplz_preferences
Rok trajanja
365 dana
Funkcija
Pohranjuje postavke privole za kolačiće
Naziv
cmplz_marketing
Rok trajanja
365 dana
Funkcija
Pohranjuje postavke privole za kolačiće
Naziv
cmplz_cookie_data
Rok trajanja
365 dana
Funkcija
Store information about cookies that have been detected on the site
Naziv
cmplz_policy_id
Rok trajanja
365 dana
Funkcija
Pohranjuje ID prihvaćenih pravila o kolačićima

Razno

Svrha u tijeku istrage

Upotreba

Dijeljenje podataka

Dijeljenje podataka čeka istragu

Svrha u tijeku istrage

Naziv
google_adsense_settings
Rok trajanja
Funkcija
Naziv
DotmetricsSiteData
Rok trajanja
Funkcija
Naziv
e_kit-elements-defaults
Rok trajanja
Funkcija
Naziv
debug
Rok trajanja
Funkcija
Naziv
DotMetricsTimeOnPage
Rok trajanja
Funkcija
Naziv
pys_session_limit
Rok trajanja
Funkcija
Naziv
pys_start_session
Rok trajanja
Funkcija
Naziv
pys_first_visit
Rok trajanja
Funkcija
Naziv
last_pysTrafficSource
Rok trajanja
Funkcija
Naziv
last_pys_landing_page
Rok trajanja
Funkcija
Naziv
pbid
Rok trajanja
Funkcija
Naziv
DM_SitId2020
Rok trajanja
Funkcija
Naziv
DM_SitId2020SecId15702
Rok trajanja
Funkcija
Naziv
__eoi
Rok trajanja
Funkcija
Naziv
DotMetrics.DomainCookie
Rok trajanja
Funkcija
Naziv
DM_SitId2020SecId15701
Rok trajanja
Funkcija
Naziv
DotMetrics_DomainCookie
Rok trajanja
Funkcija
Naziv
DotMetricsDeviceGuidId
Rok trajanja
Funkcija
Naziv
midas_lac
Rok trajanja
Funkcija
Naziv
DotMetricsUserId
Rok trajanja
Funkcija
Naziv
DotMetricsDeviceId
Rok trajanja
Funkcija
Naziv
midas_aud
Rok trajanja
Funkcija
Naziv
cookieyes-consent
Rok trajanja
Funkcija
Naziv
wp_lang
Rok trajanja
Funkcija
Naziv
cmplz_banner-status
Rok trajanja
365 dana
Funkcija
Naziv
real-queue-restore-jobs-24562c175271397e4715941d88aa5e74
Rok trajanja
Funkcija
Naziv
DotmetricsDomainFPH
Rok trajanja
Funkcija
Naziv
tTE
Rok trajanja
Funkcija
Naziv
tMQ
Rok trajanja
Funkcija
Naziv
tnsApp
Rok trajanja
Funkcija
Naziv
tADu
Rok trajanja
Funkcija
Naziv
goog:cached:topics
Rok trajanja
Funkcija
Naziv
tTDu
Rok trajanja
Funkcija
Naziv
t3D
Rok trajanja
Funkcija
Naziv
tPL
Rok trajanja
Funkcija
Naziv
tTDe
Rok trajanja
Funkcija
Naziv
midas_blad
Rok trajanja
Funkcija
Naziv
tTf
Rok trajanja
Funkcija
Naziv
tADe
Rok trajanja
Funkcija
Naziv
tAE
Rok trajanja
Funkcija
Naziv
algoliasearch-client-js
Rok trajanja
Funkcija
Naziv
__lsv__
Rok trajanja
Funkcija
Naziv
tC
Rok trajanja
Funkcija
Naziv
qm-container-width
Rok trajanja
Funkcija
Naziv
wpEmojiSettingsSupports
Rok trajanja
Funkcija
Naziv
wp-autosave-1
Rok trajanja
Funkcija
Naziv
cmplz_consented_services
Rok trajanja
365 dana
Funkcija
Naziv
DotMetricsTimeOnPageStress
Rok trajanja
Funkcija
Naziv
DotMetricsUserIdStress
Rok trajanja
Funkcija
Naziv
DotmetricsDomainFPHStress
Rok trajanja
Funkcija
Naziv
DotmetricsSiteDataStress
Rok trajanja
Funkcija
Naziv
DotMetricsDeviceIdStress
Rok trajanja
Funkcija
Naziv
DotMetrics.DomainCookieStress
Rok trajanja
Funkcija
Naziv
DotMetricsDeviceGuidIdStress
Rok trajanja
Funkcija
Naziv
DM_SitId2020Stress
Rok trajanja
Funkcija
Naziv
DM_SitId2020SecId15702Stress
Rok trajanja
Funkcija
Naziv
DM_SitId2020SecId15703
Rok trajanja
Funkcija
Naziv
DM_SitId2020SecId15703Stress
Rok trajanja
Funkcija
Naziv
DM_SitId2020SecId15701Stress
Rok trajanja
Funkcija
Naziv
DotMetrics_DomainCookieStress
Rok trajanja
Funkcija
Naziv
adobeCleanFontAdded
Rok trajanja
Funkcija
Naziv
DM_SitId2020SecId15704
Rok trajanja
Funkcija
Naziv
DM_SitId2020SecId15704Stress
Rok trajanja
Funkcija
Eksterni servisi

IPSOS MORI UK LTD

Upravljajte opcijama Upravljanje uslugama Manage vendors Pročitajte više o ovim svrhama
Pogledaj postavke
{title} {title} {title}